当院では日本歯周病学会専門医である院長が
患者様お一人お一人に向き合いご希望に応じたオーダーメイドの治療を
行ってまいります。

アイエスデンタルクリニックは
ミス・ワールド・ジャパン
公式審美歯科として
美と健康をサポートしております
ミス・ワールド・ジャパン公式審美歯科
アイエスデンタルクリニック対談企画

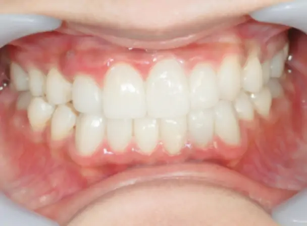
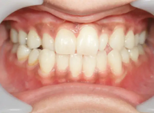
CASE アイエスデンタルクリニックの症例

Before

After
| 治療名 | セラミッククラウンによる審美補綴の例 |
|---|---|
| 主訴 | 歯並びを綺麗にしたい |
| 費用 | 1,460,000円 |
| 期間 | 1ヶ月 |
| 通院頻度 | 週1回 |
| 治療法 | 上下前歯4本にセラミッククラウンを装着すると同時に歯肉形成も行い歯肉の位置・歯の長さを美しく整えました |
| 副作用・リスク | 強い歯ぎしりや噛みしめ、噛む時の癖によるセラミックの欠損・割れ・脱離 |

Before

After
| 治療名 | マウスピース矯正装置(インビザライン)による矯正治療 |
|---|---|
| 主訴 | 反対咬合が気になる |
| 費用 | 880,000円 |
| 期間 | 1年 |
| 通院頻度 | 3ヶ月に1回 |
| 治療法 | 反対咬合が気になるとのことだったのでマウスピース矯正装置(インビザライン)を使用した矯正治療を行いました。 結果、反対咬合が治り笑う際も自然に笑えるようにすることができました。 |
| 副作用・リスク | 強い歯ぎしりや噛みしめ、噛む時の癖によるセラミックの欠損・割れ・脱離
矯正治療による歯の移動に伴う、歯根吸収 |
FEATURE アイエスデンタルクリニックの特長


歯科用デジタルマイクロスコープを
使用した精密な治療
精密な治療ができる、
高倍率・広視野のマイクロスコープ。
これをほぼ全ての処置に活用し、
より良い治療結果へと導きます。

なるべく抜かず、痛みを抑え
削りすぎない治療を実践
歯と患者様にやさしく、心地良い治療。
その実現を目指し、できる限り歯を抜かない・削らない治療の実践と、痛みを抑える工夫をしています。

表参道駅A3出口を出てすぐ
土曜も診療しています
地下からの階段を上がって目の前、駅近の便利な場所にあるので快適に通院できます。土曜も診療していますので、平日通院できない方にもご利用いただけます。
ACCESS美しい口元で、
より魅力的なあなたに
「せっかく歯をきれいにしたのに、しっくりこない…」という方はいらっしゃいませんか?
それは、お顔と口元が調和していないからかもしれません。当院では、健康なお口づくりを前提としてお口周りのバランスを美しく整え、お顔全体が違和感なく調和するよう治療を行っています。あなたの魅力を引き出せるよう、サポートさせていただきます。
TREATMENT











OTHER DENTAL TREATMENTS その他の歯科診療
DOCTOR ごあいさつ

全ての治療は院長石田智子が
責任を持って行ないます
その方の印象を決める大切なポイント、それは「口元」です。患者様にもっと美しくもっと健康になっていただきたい─そんな思いから、全て院長の私が責任をもって治療します。
美しい口元と健康な体で、毎日いきいきとお過ごしいただけることを願い、スタッフ一同、真心を込めてサポートさせていただきます。お口のお悩みはぜひ当院にご相談ください。

お顔・前歯・口元のバランスが整っている─これは美人の条件のひとつです。美しい口元づくりを追求してきた院長 石田智子が、健康に機能するだけでなく、見た目も美しい口元へと生まれ変わる方法をアドバイスします。
INFORMATION & CALENDAR
| SUN | MON | TUE | WED | THU | FRI | SAT |
|---|---|---|---|---|---|---|
| 1 | 2 | 3 | 4 | 5 | 6 | |
| 7 | 8 | 9 | 10 | 11 | 12 | 13 |
| 14 | 15 | 16 | 17 | 18 | 19 | 20 |
| 21 | 22 | 23 | 24 | 25 | 26 | 27 |
| 28 | 29 | 30 | 31 |
| SUN | MON | TUE | WED | THU | FRI | SAT |
|---|---|---|---|---|---|---|
| 1 | 2 | 3 | ||||
| 4 | 5 | 6 | 7 | 8 | 9 | 10 |
| 11 | 12 | 13 | 14 | 15 | 16 | 17 |
| 18 | 19 | 20 | 21 | 22 | 23 | 24 |
| 25 | 26 | 27 | 28 | 29 | 30 | 31 |
●リスク・副作用
○セラミック矯正にともなう一般的なリスク・副作用
・機能性や審美性を重視するため自費(保険適用外)での診療となり、保険診療よりも高額になります。
・噛み合わせによっては、また歯ぎしり・食いしばりの強い方の場合は、ごくまれに割れたり欠けたりすることがあります。
・加齢により歯肉が退縮して審美的な支障をきたした場合、再治療の必要が生じることがあります。
・審美的歯科治療としてセラミック治療を行う場合、自費(保険適用外)での診療となり、保険診療よりも高額になります。
・事前に根管治療(神経の処置)やコア(土台)の処置が必要となることがあります。
・治療では歯を削ることがあります。また、知覚過敏を発症することがあります。
・抜髄(神経の処置)や抜歯が必要になることがあります。
・抜歯や外科処置をともなう場合、出血や腫脹(しゅちょう)を生じることがあります。
・治療で歯肉を移植する場合、二次的な出血・疼痛・腫脹(しゅちょう)が見られることがあります。
・治療後、自発痛、咬合痛、冷温水痛を生じることがあります。
・歯ぎしり・食いしばりなどの癖や噛み合わせによっては、補綴物が破損することがあります。
・セラミック製の補綴物は、金属製の補綴物よりも歯を削る量が多くなることがあります。
・噛み合わせ・歯ぎしりの強い方は、セラミックの破損を防止するため、マウスピースをおすすめすることがあります。
・「1日で行うセラミック治療」においては、・補綴物の作製・セットが1日で終わっても、その前後に診療が必要な場合があり、治療後も継続的なメンテナンスを受診いただくことになるので、通院が1回とは限りません。
・審美性を重視するため自費(保険適用外)での診療となり、保険診療よりも高額になります。
・ホワイトニングには、オフィスホワイトニングとホームホワイトニングがあります。
・色の白さの度合いには、個人差があります。
・ホワイトニング後、一定期間、色素の沈着が顕著になるとの報告がされています。
・ホワイトニング後、24時間は、着色物質(カレー・コーヒー・ワイン・タバコなど)の摂取を控えてください。ホームホワイトニング施術期間中も同様です。
・ホワイトニング処置中や処置後に、痛みや知覚過敏の症状が生じることがあります。
・ホワイトニングの薬剤に対してアレルギーのある方は、薬剤で口腔粘膜に異常が起こることがあります。その際は、すぐに使用を中止してください。
・ホームホワイトニングはご自分で行うため、どのような仕上がりになるか予想がつきにくく、歯の白さの調整が難しくなります。
・ホームホワイトニングでの器具の使用方法や薬剤量などが正しく守れているかご自分での判断が難しい場合は、歯科医師または歯科衛生士に相談ください。
・詰め物や被せ物が多い方は、ご自分の歯との色の差が目立つようになることがあります。その部分の色をご自分の歯に近づけることは可能ですが、時間と費用が必要です。
・入れ歯や差し歯など、人工歯は白くできません。
・被せ物を装着している歯には適用できません。
・歯にひびが入っていると、薬剤の影響により歯髄にダメージを与えることがあります。
・抗生物質の影響により歯の変色が著しい方は、ホワイトニングの効果が出にくい場合があります。
・「無カタラーゼ症」の方は、薬剤に含まれる過酸化水素を分解する酵素がないため、ホワイトニングはできません。
・薬剤の影響があるため、妊娠中や授乳中の方は控えてください。
・審美性を重視するため自費(保険適用外)での診療となり、保険診療よりも高額になります。
・注入の際は細い注射針を使用するので、内出血を起こす場合があります。通常はメイクで隠れる程度ですが、大切な用事の前などには避けていただくことをおすすめします。
・入浴や運動などで、注入した部位の血流が良くなると、腫れ、赤み、かゆみが生じることがあります。そのため治療後24時間は、激しい運動、長時間の日光浴、サウナ、飲酒などはお控えください。
・治療効果には個人差があります。効果がすぐに実感できる方もいれば、なかなか現れないという方もいます。
・治療効果は長期間持続するものではありません。持続期間は、注入部位や注入量などによって異なりますが、約半年~1年です。
・ヒアルロン酸を用いた歯肉再生治療については、症状によってはご提供できない場合があります。歯周病や歯肉炎などにかかっており、歯肉の状態が悪い場合、まずは歯肉の治療から始めます。
・自費(保険適用外)での診療となり、保険診療よりも高額になります。
・歯周病の基本治療で改善しない場合に行う歯周外科治療や歯周組織再生療法では、歯肉を切開するため、腫れや痛みをともなうことがあります。
・破壊された歯周組織は元に戻せないので、治療後歯肉が下がることがあります。
・治療によって歯肉が引き締まってくるため、被せ物と歯肉の段差が目立つことがあります。
インプラントによる治療にともなう一般的なリスク・副作用
・機能性や審美性を重視するため自費(保険適用外)での診療となり、保険診療よりも高額になります。
・インプラントの埋入にともない、外科手術が必要となります。
・高血圧症、心臓疾患、喘息、糖尿病、骨粗鬆症、腎臓や肝臓の機能障害などがある方は、治療を受けられないことがあります。
・手術後、痛みや腫れが現れることがありますが、ほとんどの場合1週間ほどで治ります。
・手術後、歯肉・舌・唇・頬の感覚が一時的に麻痺することがあります。また、顎・鼻腔・上顎洞(鼻腔の両側の空洞)の炎症、疼痛、組織治癒の遅延、顔面部の内出血が現れることがあります。
・手術後、薬剤の服用により眠気、めまい、吐き気などの副作用が現れることがあります。
・手術後、喫煙や飲酒をすると治療の妨げとなるので、1週間は控えてください。
・インプラントの耐用年数は、口腔内の環境(骨・歯肉の状態、噛み合わせ、歯磨きの技術、メンテナンスの受診頻度、喫煙の有無など)により異なります。
・毎日の清掃が不十分だった場合、インプラント周囲炎(歯肉の腫れや骨吸収など)を引き起こすことがあります。
・エントロピー測定機器(メタトロン)は医療機器ではありません。
・体の異変や不調を類推しますが、病名の診断は行いません。
・10歳未満の方、重度の化学物質過敏症の方、ペースメーカーを使われている方、体内に取り外せない金属類がある方、妊娠中または妊娠の可能性がある方は検査を受けられない可能性があります。
・服薬中または最近まで長期間お薬を使用していた場合、測定の精度が低下する場合があります。
・エントロピー測定機器で得た情報は書面ではお渡ししておりません。歯科医師の説明のみとなりますのでご了承ください。







