笑顔・・それはとても素敵なこと。
以前の私は、歯に対してコンプレックスを感じていたので 歯を出して笑うということは、とても抵抗があり正直言って、それが出来ませんでした。歯を見せずに笑ったり、思わず手を添えて笑ったりしていました。
そんな私が、1年前から転職をきっかけに、接客業に携わることになり、 ますます、もっと笑顔になりたい、歯を綺麗にすれば・・と希望が強くなってきました。芸能人でもないのに。。とおっしゃる方もいらっしゃると思います。 でも、大人になった歯は、生え変わるものではないですし、これから先、一生付き合っていくものです。 かみ合わせによっては健康を失うものでもあるということも分かっていましたので、とりあえず、雑誌やインターネットで検索し、 実際にカウンセリングを受け、 自分の納得した歯医者さんにお世話になろうと思っていました。
でも、実際、どの歯医者さんに行っても、考え方や治療方法はさまざまで、 正直、どれがいいのか分からなくなっていました。そんな時、あるネットの口コミを見て、ISデンタルクリニックを知りました。 早速、いつもの様に予約をして、カウンセリングを受けに行きました。
表参道駅を出て、歩いて何秒とかからない場所だったので、田舎者の私にはどうかな。。なんて不安を隠せないまま、医院へ入りました。 入るとすごくかわいらしい医院で、清潔感にあふれていました。
名前を呼ばれ、不安でドキドキしていた私に石田先生は、まず最初に自己紹介をしてくれ、私の質問に対して丁寧にお答えしてくださり、 内容も私にあった、そして私の希望にあった治療方法を提示してくれました。
「一生のお付き合いをさせていただくつもりです」と言って下さったときは、すっかり私の不安もかき消され、私は[この言葉を待っていたんだ、ここで治療を受けるべきだ!]と直感しました。次の瞬間、私はその日に治療を始めてもらったのは言うまでもありません(笑)
先生の治療は、実に丁寧で、今までの歯医者の治療はなんだったんだろうと思う程、リラックスして受けることができました。そして、行く度に自分でも綺麗になったのがわかる程、歯が綺麗になり、日に日に笑顔にも自信ができる様になりました。
先生は、最初におっしゃった通り、私が不安なことや迷っている時にメールを送ると こまめにメールで返事をくださったり、先生がお休みなのにも関わらず、治療後の痛みなども気にかけて下さいました。
ただ、歯を治すだけではなく、どういう治療がその方に合っているのか どうすれば、いかに綺麗にみえるのか、といつも患者様の立場になって考えてくれる姿勢が、同じ接客業をしている私にもひしひしと伝わってきました。
私は、芸能人でも有名人でもありません。 でも、私と同じ様に、歯に対してコンプレックスを持っている方は、沢山いらっしゃると思います。そんな方と同じ私が、本当に笑顔になれる歯医者さんに出会えたと思っています。石田先生をはじめ、歯科衛生士のお二人には、とても感謝しております。 本当にありがとうございました・・・そしてこれからもどうぞ宜しくお願いします!
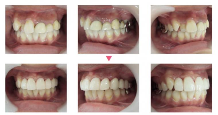
治療の説明
歯肉の高さを整える治療を行った後、オールセラミックをかぶせる治療を行いました。
治療後は、笑った時に歯肉が見えなくなり、自然な笑顔が再現できました。
