2025/07/08
セラミック治療
皆様こんにちは!歯周病専門医、かみ合わせ専門医の資格をもつ審美歯科医 石田智子です。セラミック治療についてはお気軽にご相談くださいませ。
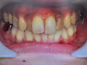
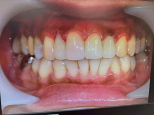
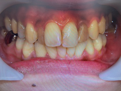
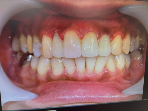
お写真の方は海外にお住まいで、前歯4本の治療をご希望で来院されました。2週間のご滞在中に治したいとのことで、ホワイトニングも含めて10日あまりで治療が終了しました。
お写真の色があまりよくないですが、実際はとても自然な綺麗な歯並びを手にされました。
この治療は2017年に行ったのですが、つい先日彼女からお電話をいただきました。
この歯は全く問題なくお使いいただいているので、今度はご主人様の歯を治療してほしいとのことでした。
治療させていただいた歯に関して彼女から、現地の歯科医の先生にも、とても仕上がりが綺麗で素晴らしいといつも褒められるとのお話を伺って、本当に嬉しくなりました。
その方のお手入れもとてもお上手なのもありますが、海外でトラブル無くお過ごしいただいて、本当に良かったなあと思います。
これからも患者様のQOL をあげられるような良い治療を行って行きたいと思います。

