2025/08/06
審美歯科治療
皆様こんにちは!歯周病専門医、かみ合わせ専門医の資格をもつ審美歯科医 石田智子です。セラミック治療についてはお気軽にご相談くださいませ。
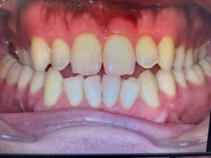
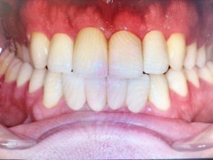
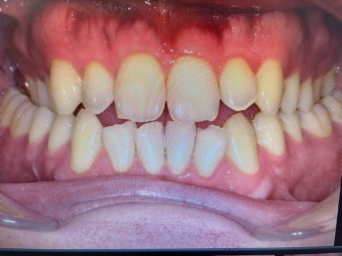
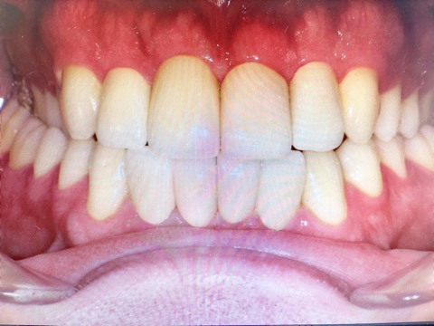
先日審美歯科治療を終えた方のビフォーアフターです。
上の術前の写真も、すごく変というわけではなかったのですが、お話する時に歯がほとんど見えなくて、歯が無い方みたいな感じに見えました。
とてもお若い素敵な男性なのに、歯がみえないだけで少しお年を召して見えていました。
その方がこの度当院を選んだ理由はこうでした。
歯を治そうと思った時、たくさんの審美歯科を検索したけど、アイエスデンタルは表参道で20年間続いていて仕上がりの評判も良いので、迷わずこちらにしました!
それをお聞きして、とても嬉しかったと共に、無我夢中でやってきた20年をご評価いただいたことに本当に感激いたしました。
色々なことは日々あるけれど、このようなお喜びのお声を聞けるの本当に幸せで、歯医者冥利に尽きます。
もっともっとたくさんの方々を綺麗に健康にさせていただき、歯から始まる幸せな人生を手に入れていただきたい!
心からそう思った瞬間でした。

