歯周病専門医として
皆様こんにちは。
ブログをずっと書かなかったので、色々な方々から、ブログ書いてください!
とおしかりを受けまして(笑)、昨日の投稿を機に、出来るだけ書いていこうと決めましたので、どうぞ再びお付き合いくださいませ。
今日は歯周病の話です。
歯周病専門医として、歯周病を治すことを主な目的として日々治療を行っております。
最近は、歯周病が死に直結する病気だということが内科医の先生方にも啓蒙さえており
内科の先生からのご紹介なども多くなってまいりました。
歯周病菌は空気を嫌う嫌気性菌ですので、歯周ポケットの中はもとより、歯と歯の間や奥歯の奥の面などに溜まって歯が植わっている骨を溶かしていきます。
骨が溶けると歯がぐらぐらになり、最後には抜けてしまいます。 そのくらい、歯周病菌はお口の健康に多大な影響を及ぼします。
そして、歯周病菌は血液の中に移行して、糖尿病や胃がんなど、生死にかかわる病気を増悪させてしまうのです。
つい最近まで、covid19ウイルスが猛威を振るっていましたが、この病気も、お口の中を不潔にしているとウイルスがお口の中に停留しやすくなるので、発病率や、治癒の経過に影響を及ぼすのです。ウイルスは舌の上にもたまりますので、常にお口の中を清潔にしておくことが重要です。
歯周病菌は残念なことに、お口の中でゼロにすることは出来ませんが、その数を減らして、菌が悪さ出来ないようにしておくことが大切です。
歯周病菌を減らすために一番大切なことは日々のお手入れです。
歯ブラシ、 フロス、歯と歯の間が広い方は歯間ブラシ、うがい薬はセットと考えてください。
歯ブラシやフロス・歯間ブラシは物理的に汚れを除去する
うがい薬は化学的に汚れを除去する
この2面を両方行うことがとても大切です。
次回はおすすめのアイテムについてお話させていただきますね!
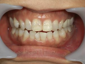
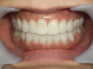
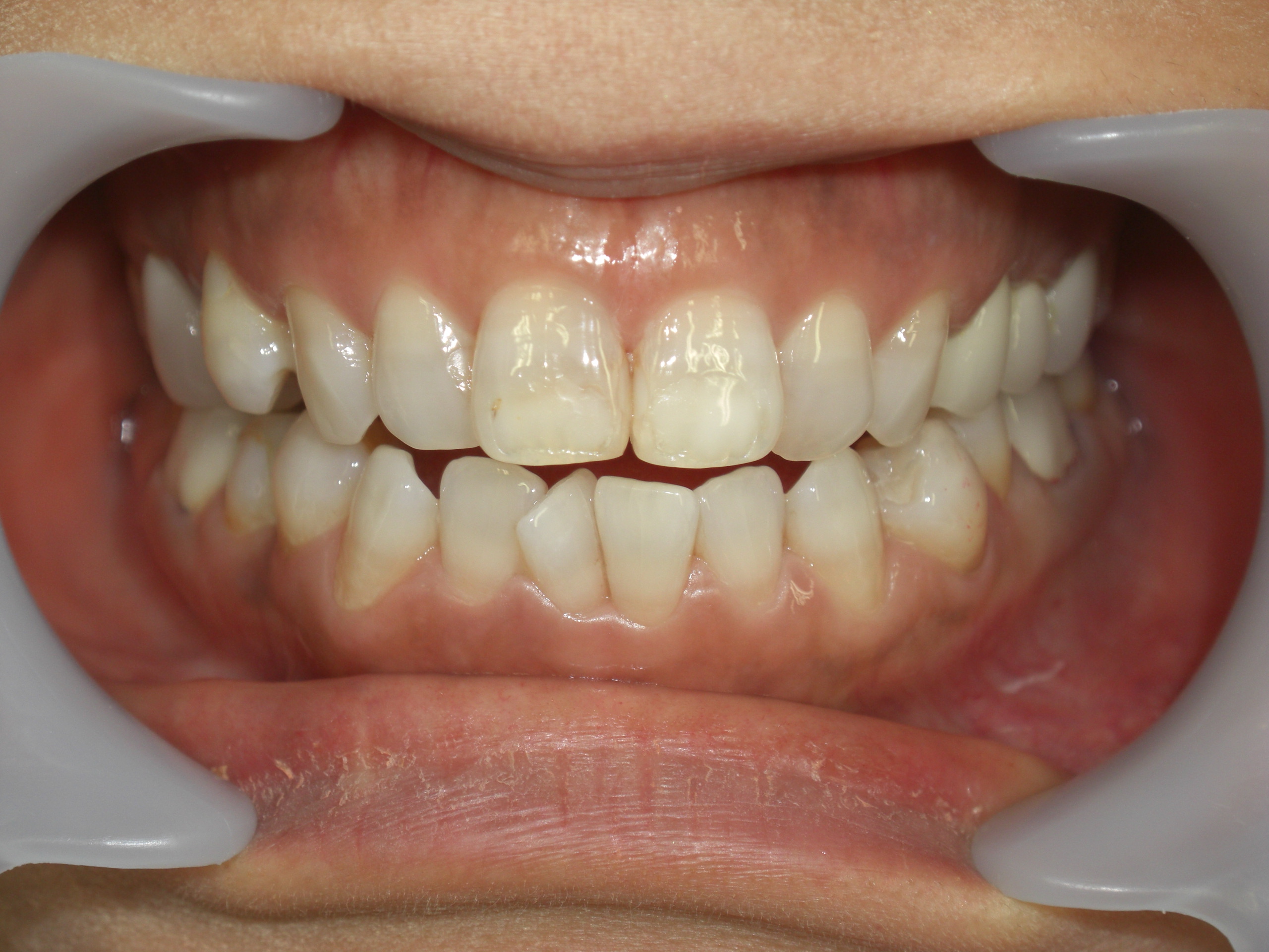
*写真は審美歯科治療のビフォーアフターです。歯肉が綺麗に整ってこそ、綺麗な歯が映えますね!

