2023/11/10
歯肉の処置はお任せくださいませ!
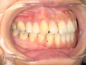
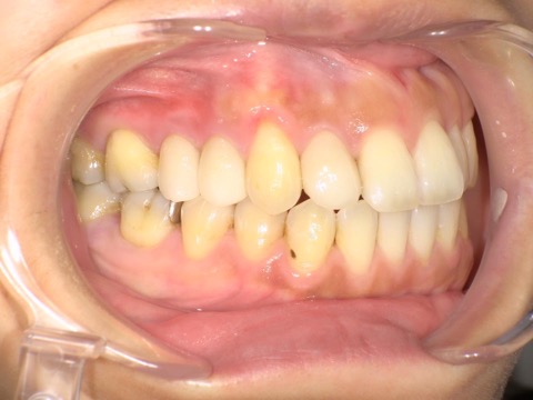
先日、歯肉の黒ずみが気になって、笑えなくなってしまった という方がご来院されました。拝見すると、前歯1本と、犬歯の脇の歯2本の歯肉が黒くなっていました。いわゆるメタルタトゥーという状態でした。メタルタトゥーというのは、被せ物の金属のイオンが流出して歯肉に色を付けてしまう状態です。一度黒くなってしまった歯肉は、ピンク色に戻すことが難しいのです。
その方は数年前に治療されたのですが、その時にメタルの裏打ちのある材料を選んだそうで、そのことをとても後悔されていました。
今回の治療内容は以下の通りです。
1, 金属の裏打ちのある被せ物を除去して、土台など、金属を使っている部分を全て除去する。
2,その後、歯肉整形を行う。 レーザーを用いて、黒くなっている歯肉をカットする。
この時、審美的理由と、付着歯肉を少なくしないよう最低限の範囲で行う。
3,歯肉の治癒を確認してから、メタルフリーの新しい被せ物を入れる。
治療後はピンク色の歯肉がよみがえり、笑うことが楽しくなったそうです。
治療は約3週間で終了いたします。
歯肉の色や形、笑った時に歯肉が見えるなどでお悩みの方は是非ご相談くださいませ。

