2025/06/17
益々イケメン様に!
皆様こんにちは!歯周病専門医、かみ合わせ専門医の資格をもつ審美歯科医 石田智子です。セラミック治療についてはお気軽にご相談くださいませ。
男性の方は歯科治療が苦手という方が多いイメージです。治したくても時間がかかるとか、痛いのではないか とか、そのような心配が先に立つのでしょうか。
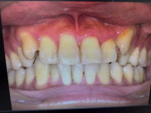
こちらの方は当院患者様の息子様で、矯正は時間がかかるからと、長年歯並びの治療を躊躇していたようです。
父上様の歯並びが短期間で整ったのを目の当たりにして、その息子様も、治療する決心がついたようです。
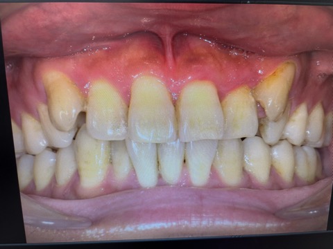
犬歯がかなり外に出ていて、笑った時に歯がガタガタに見えてしまっていたので、歯列の外に位置していた片側の犬歯を抜歯して、左右4本にセラミックを被せて審美的に整えました。
約1週間で、ご覧のような美しい口元を手に入れて、笑顔がとても輝き、奥様からも大変好評だったようです!
このような歯並びでお悩みの方は是非ご相談にいらしてくださいませ。もちろん、セラミック治療だけでなく、矯正治療など、たくさんの治療の選択肢があります。

