2025/06/23
経営者の方
皆様こんにちは!歯周病専門医、かみ合わせ専門医の資格をもつ審美歯科医 石田智子です。セラミック治療についてはお気軽にご相談くださいませ。
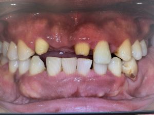
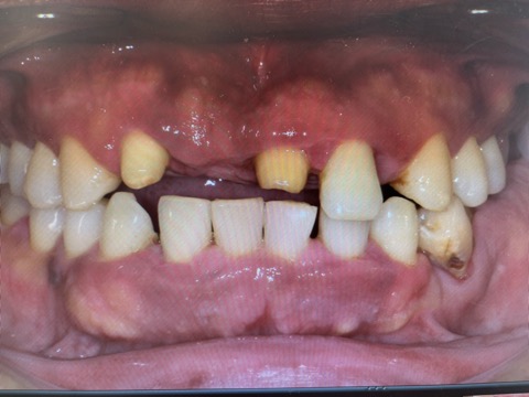
最近拝見した患者様の中でかなり重症だった方です。
写真は正面観で、前歯ももちろん瀕死の状態でしたが、奥歯がもっと重症で、食いしばりが酷いために歯周病が悪化して4本も抜かなければいけない状態でした。
そして抜くだけではダメで、下がってしまった噛み合わせを挙上していく必要がありました。
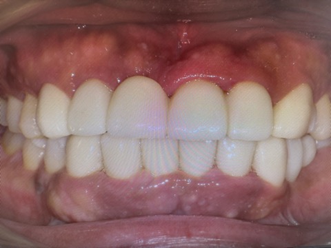
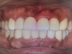
奥歯と前歯の仮歯をチェアサイドで2時間で作り、まずは日常生活に不具合がないところまで整えて、
その後、挙上量はシーラシステムを利用して計測し、本来のかみ合わせの位置を再現出来るように技工士さんと相談して本歯を作ってもらいました。
前歯ももちろん審美的に整えて、治療期間は1.5ヶ月でした。
経営者の方はご来院日がたくさん取れないので、1回の治療に長時間かけて、なるべくお仕事に支障がないようにさせていただきながら、早期治療完成を目指しました。
患者様のご理解もあって治療はスムーズに進み、仕上がりにも大変満足していただきました。
このかたは3年もの間、歯科医院をたらい回しにされて治療が一向に進まないまま、ご不自由な日常をお過ごしでした。
歯にお悩みがあったら、是非早期に歯科医院にご相談してみてくださいませ!

